歯の抜けた部位を治す方法

<ブリッジよる方法>

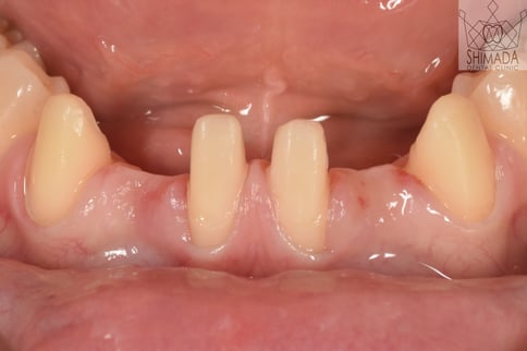
下顎左右側側切歯先天性欠損

 

先天性欠損であり、骨の幅も薄いためインプラントではなくブリッジによる治療を希望されました。

 

支台歯形成の前方面観。神経のある歯(生活歯)なので、神経を除去しないように必要最小限の歯の削除を心掛けました。

 

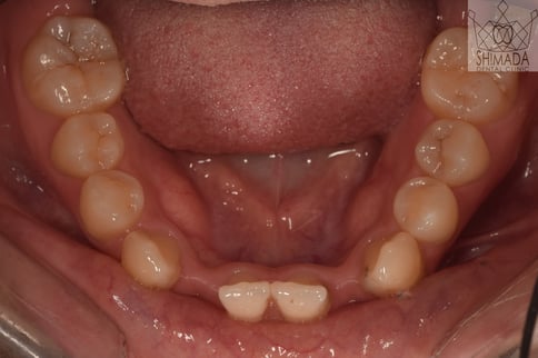
支台歯形成 咬合面観

 

作製したオールセラミックブリッジ

ジルコニア+セラミックス

 

装着したオールセラミックブリッジ

 


矢印の部分は歯を削っていません(歯肉縁上のフィニッシュライン)。歯とブリッジの移行部は自然な感じとなっています。これは金属を使用しないオールセラミックブリッジを装着した結果であり、金属を使用したセラミックブリッジ(保険外)や硬質レジン前装ブリッジ(保険診療)では、移行部の自然感を出すのは困難と思われます。

保険外診療:132,000円×6(税込)