歯の色を治す方法

<ホワイトニングによる方法>

下顎左側中切歯の変色


舌側から薬液を使用したホワイトニング

保険外診療

費用:¥22,000(税込)

 


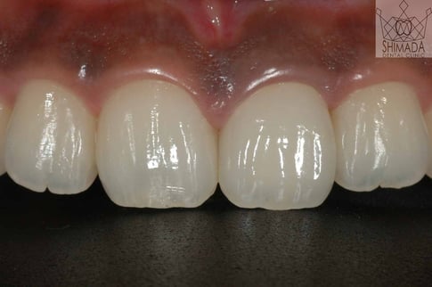
<クラウンによる方法>

左上前歯の色が気になる


クラウン装着のための支台歯形成


オールセラミッククラウン(ジルコニア)の装着

本ケースは保険外診療

費用:¥132,000(税込)